Oligodendroglioma

From NeuroWiki
Jump to navigation Jump to search
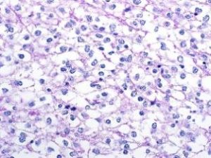
  • IDH1 Mu
  • 1p19q co-deleted
  • chicken-wire appearance