File:TAI-B.jpg
Jump to navigation
Jump to search
Size of this preview: 800 × 526 pixels. Other resolution: 1,458 × 958 pixels.
Original file (1,458 × 958 pixels, file size: 355 KB, MIME type: image/jpeg)
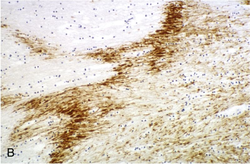
In vascular axonal injury, a zigzag pattern of amyloid precursor protein (APP)-immunopositive axonal injury occurs secondary to ischemia caused by internal herniation resulting from raised intracranial pressure (APP immunostain, corpus callosum; ×100).
File history
Click on a date/time to view the file as it appeared at that time.
| Date/Time | Thumbnail | Dimensions | User | Comment | |
|---|---|---|---|---|---|
| current | 06:49, 20 July 2024 | 1,458 × 958 (355 KB) | Fmichael1 (talk | contribs) |
You cannot overwrite this file.
File usage
The following page uses this file: