File:TAI-A.jpg

From NeuroWiki
Jump to navigation Jump to search

Original file(1,460 × 1,094 pixels, file size: 285 KB, MIME type: image/jpeg)

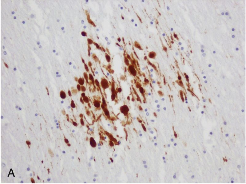
In traumatic axonal injury, amyloid precursor protein (APP)-immunopositive axonal injury shows a spectrum of axonal abnormalities, including axonal swellings, axonal retraction bulbs, and immunoreactive lengths (APP immunostain, corpus callosum; ×200).

File history

Click on a date/time to view the file as it appeared at that time.

Date/TimeThumbnailDimensionsUserComment
current06:48, 20 July 2024Thumbnail for version as of 06:48, 20 July 20241,460 × 1,094 (285 KB)Fmichael1 (talk | contribs)

The following page uses this file:

Metadata